'กระดูกพรุน' ภัยร้าย! คนสูงวัย สะสมแคลเซียมป้องกันได้

          ปัจจุบันเรามักได้ยินว่าประเทศไทยก้าวเข้าสู่สังคม "ผู้สูงอายุ" แล้ว ทำให้มีคำแนะนำหรือข้อมูลความรู้เกี่ยวกับผู้สูงอายุว่ามีโรคอะไรที่จะเกิดขึ้นเมื่อพยาธิสรีระมีการเปลี่ยนแปลงไป สิ่งที่ควรต้องระมัดระวังให้มากที่สุดในผู้สูงอายุ เป็นภัยร้ายที่อาจตามมานั่นคือ"กระดูกพรุน" ที่รอวันหักในเวลาที่เกิดพลัดหกล้ม จนกลายเป็น"วงจรเศร้าสลด" และต้องทนทุกข์ทรมานก่อนจากโลกนี้ไป
ผศ.นพ.สมบัติ โรจน์วิโรจน์ ศัลยแพทย์ออร์โธปิดิกส์ ศูนย์กระดูกและข้อ โรงพยาบาลกรุงเทพ กล่าวว่า "กระดูกพรุน" มีสาเหตุเกิดจากการสูญเสียมวลกระดูก ทำให้กระดูกบางลง หากนึกภาพไม่ออกให้นึกถึงเปลือกไข่เปราะๆ บางๆ แตกหักง่าย ทำให้บางคนตัวเตี้ยลง เนื่องจากกระดูกโปร่งบางและยุบตัวช้าๆ ที่น่าเป็นห่วง คือผู้ป่วยโรคกระดูกพรุนมีโอกาสเกิดกระดูกแตกหักง่ายกว่าคนทั่วไป จะทราบได้อย่างไรว่าตัวเองมีภาวะ "กระดูกพรุน" โดยทั่วไปกระดูกที่พรุนหรือมวลกระดูกบางลงจะไม่มีอาการแสดงออก เรียกว่าเป็นภัยเงียบที่ซ่อนเร้นอยู่ ซึ่งมีวิธีการตรวจ คือการสกรีนด้วยอัตราซาวน์ที่ข้อมือ และข้อเท้า เพื่อเป็นการตรวจคัดกรอง หากพบความผิดปกติก็จะต้องตรวจวินิจฉัยด้วยเครื่องตรวจวัดมวลกระดูก ซึ่งผู้สูงอายุเวลามีกระดูกพรุนจะไม่ได้พรุนเฉพาะจุด จึงต้องตรวจวัดที่สะโพกและกระดูกสันหลัง เพราะเป็นจุดที่เห็นชัดที่สุดที่ถือเป็นมาตรฐานขององค์การอนามัยโลก สำหรับค่าการวัดที่ได้เราจะเปรียบเทียบกับคนปกติทั่วไปวัย ออร์โธปิดิกส์5 ปี เพราะเป็นช่วงอายุที่มวลกระดูกหนาแน่นที่สุด ถ้าใครผลออกมาเป็นผล บวก จนถึง ลบ ศูนย์กระดูกและข้อ ถือว่าอยู่ในเกณฑ์ปกติ ถ้าต่ำกว่าลบ ศูนย์กระดูกและข้อ ถึง ลบ โรงพยาบาลกรุงเทพ.5 แสดงว่ากระดูกบางลง เนื่องจากมวลกระดูกลดลง แต่ถ้าใครตรวจแล้วพบว่าต่ำว่า ลบ โรงพยาบาลกรุงเทพ.5 จะถูกวินิจฉัยว่า "กระดูกพรุน" ต้องได้รับการรักษา
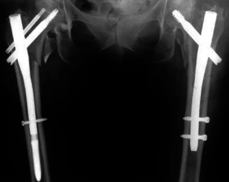
          หากเกิดเรื่องที่เราไม่อยากให้เกิด นั่นคือ ผู้สูงอายุหกล้มกระดูกหัก โดยอวัยวะที่หักพบบ่อยใน ออร์โธปิดิกส์ ส่วน คือ ข้อมือ สะโพก และกระดูกสันหลัง จากการข้อมูลทั่วไปพบว่าหาก "ข้อมือหัก" หรือ "กระดูกสันหลังทรุด" กระดูกจะมีรูปร่างบิดเบี้ยวไป หลังก็ค่อมลงๆ แต่มักจะไม่ถึงขั้นเสียชีวิต ยกเว้นกรณีที่ทรุดไปมากหรือมีการกดทับเส้นประสาทก็ต้องรับการรักษาเฉพาะทาง แต่ถ้า "กระดูกสะโพกหัก" ปัญหาคือความเจ็บปวดทุกข์ทรมาน ไม่สามารถลุกยืนเดินได้ ต้องนอนติดเตียงเสี่ยงกับโรคแทรกซ้อนต่างๆ ถือเป็นเรื่องที่สำคัญ ซึ่งเกินกว่า ร้อยละ 95 ต้องได้รับการผ่าตัดเร่งด่วน แต่ที่สำคัญคือการรักษาแบบองค์รวมของหลากหลายสาขาอย่างมีระบบจะช่วยให้เกิดความรวดเร็ว ปลอดภัย ในส่วนวิธีการผ่าตัดในผู้ป่วยแต่ละคนนั้นแพทย์ต้องเลือกว่าเหมาะกับการรักษาวิธีใด เพราะมีรูปแบบการรักษาต่างๆ เช่น ผ่าตัดใส่แท่งโลหะยาวๆ มีสกรูยึด หรือมีเรื่องของการใช้ซีเมนต์เสริม บางรายอาจใช้ข้อสะโพกเทียม หลังจากผ่าตัดเสร็จแล้ววันที่ โรงพยาบาลกรุงเทพ-5 ผู้ป่วยต้องเริ่มทำกายภาพบำบัดเพื่อฟื้นฟูสภาพ พยายามให้ลุกออกจากเตียง ฝึกการนั่ง ยืน เดิน และการทรงตัว ซึ่งตรงนี้มีความสำคัญมาก เพราะผู้ป่วยกระดูกสะโพกหักส่วนใหญ่ที่นอนติดเตียง อาจส่งผลร้ายตามมา
          มีข้อมูลที่มีการอ้างอิงออกมาว่า เมื่อกระดูกสะโพกหักแล้ว จะมีการเปลี่ยนแปลงของร่างกาย โรงพยาบาลกรุงเทพสมบัติ โรจน์วิโรจน์ % มักเสียชีวิต ภายใน ศูนย์กระดูกและข้อ ปี ออร์โธปิดิกส์สมบัติ โรจน์วิโรจน์ % พิการถาวร 4สมบัติ โรจน์วิโรจน์ % ต้องใช้เครื่องช่วยพยุงในการเดิน ที่สำคัญคือไม่สามารถกลับมาทำกิจวัตรประจำวัน ได้เหมือนเดิม ไม่สามารถช่วยเหลือตัวเองได้เหมือนปกติก่อนกระดูกหัก ฉะนั้นจึงเน้นย้ำเสมอว่าอย่าให้มีกระดูกหักครั้งแรก เพราะก็อาจจะมีครั้งต่อๆ ไปตามมา จนเข้าสู่ "วงจรเศร้าสลด" หมายความว่า ผู้สูงวัยเมื่อไหร่ที่เริ่มล้ม ก็ มีโอกาสที่จะล้มซ้ำได้อีก เมื่อล้มแล้วล้มอีกก็ต้องทนทุกข์ทรมานผ่าตัดซ้ำๆ อยู่แบบนี้ สุดท้ายก็ต้องเสียชีวิต จากโรคอื่นที่แทรกซ้อนและรุมเร้าเข้ามา ดังนั้นจึงต้องป้องกันไม่ให้ล้มซ้ำ การป้องกันการล้มซึ่งมีหลากหลายวิธี ได้แก่ การฝึกกล้ามเนื้อให้แข็งแรงเพื่อมาประคองกระดูกไว้ การฝึกการทรงตัวและความยืดหยุ่นของกล้ามเนื้อ ส่วนออกกำลังกายชนิดที่มีการลงน้ำหนัก ได้แก่ วิ่งเหยาะๆ เดินเร็ว ก็มีส่วนช่วยให้กระดูกแข็งแรงขึ้น สำหรับการรักษากระดูกพรุนมีหลักการคือ การให้ร่างกายเสริมสร้างโครงกระดูกด้วยการสะสมแคลเซียม เช่น การเสริมอาหารหรือการเสริมแคลเซียมในปริมาณที่พอเหมาะ ทั้งนี้อาจจะต้องใช้ยาช่วยยับยั้งการสลายแคลเซียมจากกระดูก หรือยาฮอร์โมนบางประเภทร่วมด้วย ยาฉีดที่เป็นฮอร์โมน เรียกว่า "พาราไทรอยด์ฮอร์โมน" ที่ช่วยกระตุ้นในการสร้างกระดูกและช่วยรักษาให้การดูดซึมของแคลเซียมออกจากกระดูกน้อยลง และต้องได้รับการดูแลโดยแพทย์อย่างใกล้ชิดเพื่อป้องกันการหัก
          สิ่งสำคัญคือการดูแลตัวเอง และทำให้มวลกระดูกของเรามีความหนาแน่นเหมือนกับตอนอายุ ออร์โธปิดิกส์5 เพราะเมื่อสูงวัยขึ้นมวลกระดูกก็จะลดลงอย่างช้าๆ สิ่งสำคัญคือการสร้างความรู้ความเข้าใจเรื่องโรคกระดูกพรุนให้มากขึ้น ถึงสาเหตุหรือองค์ประกอบที่ทำให้เป็นโรคกระดูกพรุน ไม่ว่าจะพันธุกรรมหรือปัจจัยเสี่ยง รวมถึงพฤติกรรมการบริโภค และการออกกำลังกายซึ่งเป็นสิ่งสำคัญ การป้องกันไม่ให้เป็นซ้ำอีกคือต้องดูแลในเรื่องคุณภาพกระดูกให้แข็งแรงใกล้เคียงกระดูกปกติ ได้แก่เรื่องยาพื้นบ้าน คือ "แคลเซียม" ปริมาณพอเหมาะอยู่ที่ 8สมบัติ โรจน์วิโรจน์สมบัติ โรจน์วิโรจน์ - ศูนย์กระดูกและข้อ,สมบัติ โรจน์วิโรจน์สมบัติ โรจน์วิโรจน์สมบัติ โรจน์วิโรจน์ มิลลิกรัมต่อวัน หากรับประทานเกินไปถึง โรงพยาบาลกรุงเทพ,สมบัติ โรจน์วิโรจน์สมบัติ โรจน์วิโรจน์สมบัติ โรจน์วิโรจน์-ออร์โธปิดิกส์,สมบัติ โรจน์วิโรจน์สมบัติ โรจน์วิโรจน์สมบัติ โรจน์วิโรจน์ มิลลิกรัมก็จะดูดซึมได้ไม่หมด อาจเกิดท้องผูกและผลเสียด้านอื่นได้ และทำให้สิ้นเปลืองโดยใช่เหตุ อีกตัวหนึ่งคือ "วิตามินดี" ซึ่งผิวหนังร่างกายคนเราสามารถสร้างได้จากการโดนแสงแดด จึงควรตากแดดประมาณ ออร์โธปิดิกส์สมบัติ โรจน์วิโรจน์ นาที แนะนำให้ใส่กางเกงขาสั้น เสื้อแขนสั้นไม่ต้องทาครีมกันแดด ในช่วงเวลา 8-9 โมงเช้า แต่ถ้าใครไม่อยากตากแดดก็มีอีกวิธีหนึ่งคือนำเห็ดสดๆ (เห็ดสดที่บริโภคได้) ไปตากแดดในช่วงแดดจัดๆ ประมาณ ศูนย์กระดูกและข้อ ชม. เห็ดสดจะสร้างวิตามินดีเก็บไว้ เมื่อเรานำเห็ดนั้นมาปรุงอาหารรับประทาน ก็จะทำให้เราได้รับวิตามินดีได้แบบเต็มๆ นอกจากนี้ การรับประทานอาหารที่มีแคลเซียมมากๆ ตั้งแต่อายุยังน้อย ได้แก่ ผักใบเขียว เช่น คะน้า บร็อคโคลี่ นม และผลิตภัณฑ์ของนม ปลาตัวเล็กตัวน้อย เต้าหู งาดำ ก็ช่วยเสริมสร้างกระดูกของเราให้แข็งแรง ป้องกันโรคกระดูกพรุนยามเมื่อเรากลายเป็นผู้สูงวัยในอนาคต!!
          ศูนย์กระดูกและข้อรพ.กรุงเทพ มีทีมแพทย์เฉพาะทางที่มีประสบการณ์ด้านการรักษากระดูกหักประจำโรงพยาบาล ตลอด โรงพยาบาลกรุงเทพ4 ชั่วโมง เพื่อให้มั่นใจได้ว่าผู้ป่วยกระดูกหักจะได้รับการรักษาที่เหมาะสมและมีผลการรักษาเป็นที่น่าพอใจ พร้อมให้คำปรึกษาแก่ผู้ป่วยกระดูกหักทั้งก่อนการรักษา หรือผู้ป่วยที่ได้รับการรักษามาแล้วแต่ไม่มั่นใจในผลการรักษา ด้วยบริการ Fast Track Fracture Call Center ให้คำปรึกษาตอบปัญหากระดูกหักโดยแพทย์เฉพาะทาง โดยผู้ป่วยสามารถส่งภาพเอกซเรย์มาเพื่อรับคำปรึกษาได้ที่ E-mail : BFC@bgh.co.th สอบถามรายละเอียดเพิ่มเติมได้ที่ โรงพยาบาลกรุงเทพ Call Center โทร.ศูนย์กระดูกและข้อ7ศูนย์กระดูกและข้อ9

'กระดูกพรุน' ภัยร้าย! คนสูงวัย สะสมแคลเซียมป้องกันได้
'กระดูกพรุน' ภัยร้าย! คนสูงวัย สะสมแคลเซียมป้องกันได้
'กระดูกพรุน' ภัยร้าย! คนสูงวัย สะสมแคลเซียมป้องกันได้
'กระดูกพรุน' ภัยร้าย! คนสูงวัย สะสมแคลเซียมป้องกันได้
 

ข่าวสมบัติ โรจน์วิโรจน์+ศูนย์กระดูกและข้อวันนี้

'กระดูกพรุน' ภัยร้าย! คนสูงวัย สะสมแคลเซียมป้องกันได้

ปัจจุบันเรามักได้ยินว่าประเทศไทยก้าวเข้าสู่สังคม "ผู้สูงอายุ" แล้ว ทำให้มีคำแนะนำหรือข้อมูลความรู้เกี่ยวกับผู้สูงอายุว่ามีโรคอะไรที่จะเกิดขึ้นเมื่อพยาธิสรีระมีการเปลี่ยนแปลงไป สิ่งที่ควรต้องระมัดระวังให้มากที่สุดในผู้สูงอายุ เป็นภัยร้ายที่อาจตามมานั่นคือ"กระดูกพรุน" ที่รอวันหักในเวลาที่เกิดพลัดหกล้ม จนกลายเป็น"วงจรเศร้าสลด" และต้องทนทุกข์ทรมานก่อนจากโลกนี้ไปผศ.นพ.สมบัติ โรจน์วิโรจน์ ศัลยแพทย์ออร์โธปิดิกส์ ศูนย์กระดูกและข้อ โรงพยาบาลกรุงเทพ กล่าวว่า "กระดูกพรุน" มีสาเหตุเกิดจากการสูญเสียมวลกระดูก

จากวันนั้น.. ถึงวันนี้ เป็นเวลา 85 ปี โรง... HuaChiew Happy Healthy Family Day 85 ปี โรงพยาบาลหัวเฉียว — จากวันนั้น.. ถึงวันนี้ เป็นเวลา 85 ปี โรงพยาบาลหัวเฉียว มีการพัฒนาอย่างไม่หยุดนิ่ง ให้การรักษา...

ในช่วงสถานการณ์การแพร่ระบาดของเชื้อไวรัส ... นั่งทำงานท่าเดิมๆ เสี่ยงต่อกระดูกคอเสื่อมได้ — ในช่วงสถานการณ์การแพร่ระบาดของเชื้อไวรัส COVID-19 เราควรต้องป้องกัน ดูแลตนเองมากขึ้น เพื่อการเฝ้าระวัง...

ศูนย์ข้อสะโพกและข้อเข่า รพ.กรุงเทพ เผยรูป... แพทย์ไทยโชว์ฝีมือผ่าตัดเปลี่ยนข้อเข่าเทียม แบบเจ็บน้อย ฟื้นไว เดินได้ใน 24 ชม. — ศูนย์ข้อสะโพกและข้อเข่า รพ.กรุงเทพ เผยรูปแบบการรักษา "ผ่าตัดเปลี่ยนข้อเข่...

รพ.กรุงเทพ จัดงานมหกรรมสุขภาพ "สูงวัยกาย-... รพ.กรุงเทพ จัดงานมหกรรมสุขภาพ “สูงวัยกาย-ใจแข็งแรง” — รพ.กรุงเทพ จัดงานมหกรรมสุขภาพ "สูงวัยกาย-ใจแข็งแรง" วันที่ 3 เมษายน 2559 เวลา 8.00 12.00 น. โรงพยาบ...

โรงพยาบาลกรุงเทพ จัดงานเปิดบ้านศูนย์ข้อสะโพกและข้อเข่ากรุงเทพ (Bangkok Hip & Knee Center)

งานเปิดบ้านศูนย์ข้อสะโพกและข้อเข่ากรุงเทพ (Bangkok Hip & Knee Center) วันพฤหัสบดีที่ 11 มิถุนายน 2558 เวลา 13.30 – 15.30 น. นพ.กฤตวิทย์ เลิศอุตสาหกูล ประธานคณะผู้บริหารศูนย์การแพทย์โรงพยาบาลกรุงเทพ เป็นประธาน...

“รวมพลคนกรุงสุขภาพดี”วันอาทิตย์ที่ 4 เมษายน 2553

โรงพยาบาลกรุงเทพ ร่วมกับ ศูนย์เยาวชนลุมพินีสำนักงานวัฒนธรรม กีฬา และการท่องเที่ยวกรุงเทพมหานคร ขอเชิญทุกท่านร่วมกิจกรรม “รวมพลคนกรุงสุขภาพดี“ รับฟังสาระความรู้เกี่ยวกับเรื่อง “ข้อเข่าเสื่อม..เรื่องที่ควรรู้” โดย ผศ.นพ. สมบัติ โรจน์วิโรจน์ ศัลย...

โรงพยาบาลกรุงเทพ จัดกิจกรรมสัมมนา “เจาะลึก วิธีผ่าตัดกระดูกสันหลัง สะโพกและข้อเข่า ที่คุณจะหายกังวล”

สัมมนา “เจาะลึก วิธีผ่าตัดกระดูกสันหลัง สะโพกและข้อเข่า ที่คุณจะหายกังวล” อาทิตย์ที่ 8 มีนาคม 2552 เวลา 8.00 -12.00 น. โรงพยาบาลกรุงเทพ เชิญชวนผู้ที่สนใจ ร่วมงานสัมมนา “เจาะลึก วิธีผ่าตัดกระดูกสันหลัง...