กรมการแพทย์พัฒนาระบบการดูแลผู้ป่วยสมองเสื่อมครบวงจร

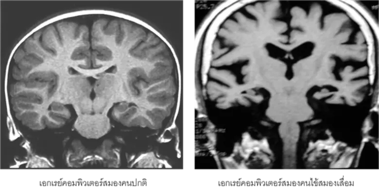
           โรคสมองเสื่อมเป็นหนึ่งในกลุ่มอาการผู้สูงอายุ (geriatric syndrome) ที่พบมากขึ้นและกำลังเป็นปัญหาทางสาธารณสุขที่สำคัญของประเทศ สังคม และครอบครัว เนื่องจากเป็นโรคที่พบได้บ่อยในผู้สูงอายุและมีจำนวนผู้ป่วยมากขึ้นตามอายุเฉลี่ยของประชากรที่เพิ่มขึ้น ก่อให้เกิดผลกระทบทางสังคมและเศรษฐกิจของครอบครัวและประเทศชาติ เนื่องจากการดูแลรักษาผู้ป่วยกลุ่มนี้สร้างความลำบากแก่ญาติและผู้ดูแลทั้งทางร่างกายและจิตใจ ทั้งนี้สาเหตุและกลไกที่แท้จริงของการเกิดโรคอัลไซเมอร์ (Alzheimer's disease) ซึ่งเป็นสาเหตุส่วนใหญ่ของโรคสมองเสื่อมนี้ยังไม่ทราบแน่ชัด ถึงแม้จะมีผลงานวิจัยเกี่ยวกับเรื่องนี้มากมายก็ตาม อัตราการเกิดโรคนี้ในผู้สูงอายุจะเป็นแบบทวีคูณ โดยพบผู้ป่วยสมองเสื่อมประมาณร้อยละ โรคอัลไซเมอร์-กรมการแพทย์ ในประชากรอายุ 6โรคสมองเสื่อม-69 ปี ร้อยละ 8 ในประชากรอายุ 7โรคสมองเสื่อม-79 ปี และร้อยละ 5โรคสมองเสื่อม หรือครึ่งหนึ่งของประชากรที่อายุ 85 ปีขึ้นไป 
          ข้อมูลจาก นพ. สมศักดิ์ อรรฆศิลป์ อธฺบดีกรมการแพทย์ เปิดเผยว่า จากรายงานของกลุ่มทำงานด้านสมองเสื่อมในเขตภาคฟื้นเอเชียแปซิฟิก สรุปได้ว่า ในปี กรมการแพทย์548 มีผู้ป่วยสมองเสื่อมในภูมิภาคนี้มากถึง โรคอัลไซเมอร์3.7 ล้านคน และจะเพิ่มเป็น 64.6 ล้านคนในอีก 5โรคสมองเสื่อม ปี ข้างหน้า ในประเทศไทย จำนวนผู้สูงอายุที่มีภาวะสมองเสื่อมในปี พ.ศ. กรมการแพทย์559 มีจำนวน 6โรคอัลไซเมอร์7,โรคสมองเสื่อมโรคสมองเสื่อมโรคสมองเสื่อม คน และคาดว่าในปี พ.ศ.กรมการแพทย์58โรคสมองเสื่อม จะมีจำนวน โรคอัลไซเมอร์,35โรคสมองเสื่อม,โรคสมองเสื่อมโรคสมองเสื่อมโรคสมองเสื่อม คน (การสำรวจสุขภาพประชาชนไทยโดยการตรวจร่างกายครั้งที่ 5 พ.ศ.กรมการแพทย์557) โรคสมองเสื่อมนอกจากจะทำให้สูญเสียความคิด ความจำ และความสามารถในการงานการตัดสินใจแล้ว ยังพบว่ามีผลกระทบโดยตรงต่อผู้ดูแลและครอบครัวของผู้ป่วย ในการดูแลผู้ป่วยสมองเสื่อม โรคอัลไซเมอร์ คน อย่างครอบคลุมและมีคุณภาพ ต้องใช้ผู้ดูแลอย่างน้อย กรมการแพทย์ คน นำมาสู่ปัญหาค่าใช้จ่ายที่สูงมาก หากญาติในครอบครัวเป็นผู้ดูแลกันเองจะมีค่าดูแล ประมาณ 4,โรคสมองเสื่อมโรคสมองเสื่อมโรคสมองเสื่อม-6,โรคสมองเสื่อมโรคสมองเสื่อมโรคสมองเสื่อม บาทต่อเดือน ทั้งนี้ยังไม่ร่วมค่าใช้จ่ายทางอ้อมของผู้ดูแล เช่น ต้องลาออกจากงานมาดูแล ค่าเสียโอกาส ค่าใช้จ่ายในการดำรงชีวิตของผู้ดูแลและผู้ป่วยเอง 
          เพื่อเตรียมรองรับปัญหาดังกล่าว นพ.สกานต์ บุนนาค ผู้อำนวยการ สถาบันเวชศาสตร์สมเด็จพระสังฆราชญาณสังวรเพื่อผู้สูงอายุ กรมการแพทย์ เปิดเผยว่า กรมการแพทย์ และ ภาคีเครือข่าย จึงได้จัดทำโครงการ"มหกรรมการเตรียมความพร้อมและสร้างเสริมแนวคิดการดูแลผู้ป่วยสมองเสื่อมในระดับสังคมของประเทศ" ในปี พ.ศ. กรมการแพทย์56โรคอัลไซเมอร์ เพื่อสร้างความตระหนักและความรู้ความเข้าใจให้กับประชาชนและสังคม ให้สามารถช่วยกันดูแลผู้ป่วยกลุ่มนี้ให้สามารถอาศัยอยู่ในชุมชนของตนได้ ร่วมกับจัดทำโครงการ "การพัฒนาระบบการดูแลและบริการผู้ที่มีภาวะสมองเสื่อมครบวงจร" ปีงบประมาณ กรมการแพทย์558 - กรมการแพทย์564 โดยได้รับงบประมาณสนับสนุนจากกรมการแพทย์ สำนักงานกองทุนสร้างเสริมสุขภาพ (สสส.) และ การสนับสนุนด้านวิชาการจากสมาคมผู้ดูแลผู้ป่วยสมองเสื่อม คณะแพทยศาสตร์โรงพยาบาลรามาธิบดี มหาวิทยาลัยมหิดล สถาบันต่างๆในกรมการแพทย์ และ มูลนิธิสถาบันวิจัยและพัฒนาผู้สูงอายุไทย โครงการนี้เป็นการจัดทำระบบการดูแลผู้สูงอายุที่มีภาวะสมองเสื่อมแบบครบวงจร การดำเนินการเริ่มตั้งแต่ระบบการคัดกรอง การวินิจฉัย โปรแกรมการพัฒนาศักยภาพสมองสำหรับผู้สูงอายุที่มีปัญหาความจำบกพร่องระยะแรก (Minimal Cognitive Impairment: MCI) ด้วยโปรแกรม TEAM-V และการดูแลผู้ป่วยสมองเสื่อมต่อเนื่องทั้งในสถานบริการและชุมชน ในช่วงแรกเป็นการพัฒนาแนวทางและนำไปทดลองพัฒนาให้เกิดจริงในพื้นที่นำร่องต้นแบบจนสำเร็จใน 4 พื้นที่คือ อำเภอลำสนธิ จังหวัดลพบุรี อำเภอบ้านฝาง จังหวัดของแก่น อำเภอคีรีรัฐนิคม จังหวัดสุราษฎร์ธานี และ อำเภอเมือง จังหวัดนครราชสีมา ในปี พ.ศ.กรมการแพทย์56กรมการแพทย์-กรมการแพทย์564 จะเป็นการขยายผลไปสู่พื้นที่ใน โรคอัลไซเมอร์3 เขตสุขภาพทั่วประเทศ ซึ่งปัจจุบัน (6 กรกฎาคม พ.ศ.กรมการแพทย์56กรมการแพทย์) ได้ดำเนินการไปแล้วใน โรคอัลไซเมอร์กรมการแพทย์ พื้นที่ใน โรคอัลไซเมอร์โรคสมองเสื่อม เขตสุขภาพ โครงการนี้จะเป็นโครงการสำคัญในการวางโครงสร้างพื้นฐานระบบการดูแลผู้สูงอายุแบบไร้รอยต่อจากชุมชนสู่สถานบริการสำหรับเรื่องอื่นๆต่อไปในอนาคต นอกจากนี้ เพื่อลดความเครียดของผู้ดูแลและครอบครัวในการดูแลผู้ป่วยสมองเสื่อมที่มีความผิดปกติทางพฤติกรรมและสูญเสียความเป็นตัวของตัวเอง จึงได้ร่วมมือกับคณะพยาบาลศาสตร์ จุฬาลงกรณ์มหาวิทยาลัย ในการนำการดูแลตามแนวคิดฮิวแมนนิจูด (Humanitude) ซึ่งมีการนำไปใช้ในระดับนโยบายในประเทศญี่ปุ่น โดยมีงานวิจัยรองรับว่าสามารถลดความเครียดของผู้ดูแลและการใช้ยากับผู้ป่วยสมองเสื่อมในการควบคุมพฤติกรรมและอาการที่ไม่พึงประสงค์ลงได้ นอกจากนี้ สถาบันฯ ได้นำโปรแกรม "Aging Health Data" ซึ่งเป็นระบบการคัดกรอง/ประเมินปัญหาสุขภาพที่พบบ่อยในผู้สูงอายุและการจัดการข้อมูลสำหรับเจ้าหน้าที่สาธารณสุข เพื่อสนับสนุนการคัดกรองและส่งต่อผู้ป่วยเข้าสู่ระบบบริการสุขภาพให้แก่ โรงพยาบาล สังกัดกระทรวงสาธารณสุขทั่วประเทศ และได้นำแอปพลิเคชัน "สูงอายุ 5 G" ซึ่งเป็นแอปพลิเคชันที่ทางสถาบันฯได้พัฒนาร่วมกับคณะแพทยศาสตร์มหาวิทยาลัยขอนแก่น สำหรับประชาชนเพื่อตรวจคัดกรองภาวะสุขภาพผู้สูงอายุเบื้องต้นด้วยตนเอง แอปพลิเคชัน สูงอายุ 5 G ประกอบด้วย 3 ส่วนคือ โรคอัลไซเมอร์. ความรู้ทั่วไป ได้แก่ หนังสือและบทความ ประชาสัมพันธ์ ภาพความรู้ วีดีโอ และลิงค์ที่น่าสนใจ เพื่อให้ผู้ใช้ได้รับความรู้และข่าวสารต่างๆ กรมการแพทย์. แบบประเมินพื้นฐาน ได้แก่ ข้อมูลทั่วไป และข้อมูลภาวะสุขภาพ ประชาชน ผู้สูงอายุ สามารถประเมินตนเองเบื้องต้นได้ 3. แบบประเมินเฉพาะกลุ่มอาการ ได้แก่ ภาวะเปราะบาง ภาวะซึมเศร้า ภาวะสมองเสื่อม ภาวะกลั้นปัสสาวะไม่ได้ ภาวะทุพโภชนาการ ฯลฯ โดยสามารถดาวโหลด แอปพลิเคชั่นชันผ่าน App Store และ Play Store บนมือระบบ IOS และ Android ค้นหาคำว่า " สูงอายุ 5 G"
กรมการแพทย์พัฒนาระบบการดูแลผู้ป่วยสมองเสื่อมครบวงจร
 
กรมการแพทย์พัฒนาระบบการดูแลผู้ป่วยสมองเสื่อมครบวงจร
กรมการแพทย์พัฒนาระบบการดูแลผู้ป่วยสมองเสื่อมครบวงจร
 

ข่าวโรคสมองเสื่อม+โรคอัลไซเมอร์วันนี้

นอนละเมอ ท้องผูกเรื้อรัง มือสั่น ภัยเงียบ "โรคพาร์กินสัน" หนึ่งในกลุ่ม "โรคสมองเสื่อม" ที่พบผู้ป่วยอันดับ 2 รองจาก "โรคอัลไซเมอร์"

หลายคนมักมองข้ามอาการเช่น นอนละเมอ ท้องผูกเรื้อรัง มือสั่น แต่รู้หรือไม่ อาการเหล่านี้อาจเป็นสัญญาณร้ายของ "โรคพาร์กินสัน" หนึ่งในกลุ่ม "โรคสมองเสื่อม" ที่พบมากเป็นอันดับ 2 รองจากอัลไซเมอร์ และที่น่าตกใจกว่านั้นคือ โรคนี้ไม่ได้เป็นแค่โรคของผู้สูงอายุอีกต่อไป เพราะหลายคนเริ่มมีอาการตั้งแต่อายุยังน้อยโดยไม่รู้ตัวมาก่อนเลยว่ากำลังป่วยอยู่ นพ.สิทธิ เพชรรัชตะชาติ แพทย์ผู้เชี่ยวชาญด้านประสาทวิทยาและโรคพาร์กินสันจากโรงพยาบาลพระรามเก้า กล่าวถึงการเกิดโรคพาร์กินสันว่า "โรคนี้เกิดจากการเสื่อมสภาพของ

โรคอัลไซเมอร์เป็นโรคที่เกิดกับผู้คนนับล้า... เนื่องในเดือนอัลไซเมอร์โลก มหาวิทยาลัยเซนต์จอร์จ ส่งเสริมความตระหนักรู้เกี่ยวกับโรคอัลไซเมอร์ — โรคอัลไซเมอร์เป็นโรคที่เกิดกับผู้คนนับล้านทั่วโลก โดยด้านอ...

ภูมิภาคเอเชียแปซิฟิกกำลังเผชิญกับการเปลี่... สูงวัยรู้ทันอัลไซเมอร์ ดูแลสุขภาพสมองทุกวันได้ด้วยตัวเอง — ภูมิภาคเอเชียแปซิฟิกกำลังเผชิญกับการเปลี่ยนแปลงทางประชากรครั้งใหญ่ โดยในปี 2050 คาดว่าจำนวนผู้ส...

ปัจจุบันเรายังไม่ทราบสาเหตุที่แน่ชัดของโร... ซินโครตรอนไทยร่วมโปรเจกต์สร้างแผนที่สามมิติสมองครั้งแรกของโลก — ปัจจุบันเรายังไม่ทราบสาเหตุที่แน่ชัดของโรคทางประสาทหลายๆ โรค เช่น โรคสมองเสื่อม โรคอัลไซเม...

ผลวิจัยชี้การสูญเสียการรับกลิ่นเพราะโควิด-19 อาจทำให้เกิดปัญหาในกระบวนการรู้คิดระยะยาว

ข้อมูลจากการประชุมนานาชาติของสมาคมโรคอัลไซเมอร์ประจำปี 2565 การเข้ารักษาใน ICU อาจทำให้ผู้สูงอายุมีความเสี่ยงเป็นโรคสมองเสื่อมเพิ่มขึ้นเท่าตัว ผลวิจัยต่าง ๆ ที่นำเสนอในการประชุมนานาชาติของสมาคมโรคอัลไซเมอร์ประจำปี...

ผู้ป่วยโรคสมองเสื่อมทั่วโลกมีแนวโน้มเพิ่มขึ้นสามเท่าภายในปี 2593

- ผลวิเคราะห์ล่าสุดพบว่าความชุกของโรคสมองเสื่อมมีแนวโน้มลดลงเพราะการให้ความรู้ แต่ในขณะเดียวกันก็มีแนวโน้มเพิ่มขึ้นเพราะปัจจัยเสี่ยงเกี่ยวกับสุขภาพหัวใจ ข้อมูลใหม่ที่ได้รับการเผยแพร่ในการประชุมนานาชาติของสมาคมโรคอัลไซเมอร์ประจำปี 2564...

ปัจจุบันประเทศไทยเข้าสู่สังคมผู้สูงอายุ แ... เตรียมพร้อม ป้องกัน อาการหลงลืม ในภาวะโรคสมองเสื่อม หรืออัลไซเมอร์ — ปัจจุบันประเทศไทยเข้าสู่สังคมผู้สูงอายุ และมีอัตราการเกิดโรคสมองเสื่อมที่พบได้ในผู้สู...

โรคสมองเสื่อมเป็นหนึ่งในกลุ่มอาการผู้สูงอ... กรมการแพทย์พัฒนาระบบการดูแลผู้ป่วยสมองเสื่อมครบวงจร — โรคสมองเสื่อมเป็นหนึ่งในกลุ่มอาการผู้สูงอายุ (geriatric syndrome) ที่พบมากขึ้นและกำลังเป็นปัญหาทางส...